OCT in Ophthalmology

Expedition into the Eye >>

Learn how OCT is transforming our understanding of the eye, from tear film to photoreceptors.

The eye is a delicate yet intricate structure, making it challenging territory to explore. With the emergence of optical coherence tomography (OCT) over the past 25 years, researchers and clinicians now have a non-invasive approach to observing the eye with unprecedented detail. OCT’s ability to quickly capture clear, detailed images of the eye from cornea to retina allows us to diagnose, understand, and treat the eye at a whole new level – and its capabilities are increasing daily. Wasatch Photonics is an innovator in this field, supporting leaders in research and industry with high performance gratingsspectrometers, and OEM modules for OCT.

In this Expedition into the Eye, we’ll take you from tear film to photoreceptors through OCT imaging, showing you the resolution, detail, and speed now possible with the latest in SD-OCT technology. Each wavelength plays its role, from 800 to 1300 nm, allowing us a clear view of almost every structure in the eye for research and diagnostic purposes.

You’ll see how two cutting edge research groups have performed in-vivo cellular-level imaging using our spectrometers, revealing detailed layer structure. Ultra-high resolution volumetric imaging of corneal structure in less than 3 seconds gives promise for clinical use, while adaptive-optics-assisted imaging (AO-OCT) reveals key physiological and structural properties of the retina to advance research into novel therapies.

Whether you are a clinician, an instrument developer, or simply fascinated by the eye, we hope you’ll enjoy sharing our passion for this incredible organ – and the benefits OCT offers for understanding, diagnosing, and treating it. After all, it’s the spark behind our goal of enabling OCT with innovative solutions.

Quicklinks: Corneacellular-level corneairidocorneal anglecrystalline lensciliary bodyposterior segmentretinamacula & foveaoptic nerve headcellular-level retina

OCT in Ophthalmology

Anterior Segment

The front of the eye is known as the anterior segment, and it’s where our expedition begins. Light alters its path as it enters the eye through the cornea, traveling through the anterior chamber and through the lens toward the retina. Anterior segment OCT (AS-OCT) is often performed using 1300 nm light, as it allows viewing of deeper structures in which the surface is at a steep angle, such as the iridocorneal angle and ciliary body.

Though originally developed for retinal imaging, OCT is increasingly being used as non-invasive method for in-vivo imaging of the ocular surface and corneal pathologies like keratoconus (thinning and distortion of the cornea).

In this image taken with a system employing our Cobra 1300 OCT spectrometer, we’re able to capture a full cornea view with excellent clarity – from one end of the sclera to the other (‘white to white’). This view of the full anterior chamber reveals detailed structure including the corneal epithelium, stroma, sclera, iris, and lens. It could be used to assess contact lens fit, check the size of the anterior chamber or pupil, or allow an intraocular lens (IOL) or implantable contact lens to be seen in-vivo. This makes SD-OCT an important tool for diagnosis and management of corneal and anterior segment diseases, as well as in surgery, from prep to post-operative care. To see how, let’s look at some of its structures.

Cornea

As the window to the eye, the cornea transmits and performs the initial focusing of light; as such, corneal thickness is an important anatomical parameter. It can determine suitability for LASIK, in which a laser reshapes the cornea to change the focus  for the correction of myopia, hyperopia, or astigmatism. High resolution OCT is key to seeing each region of the cornea, and for differentiation between various corneal and ocular surface pathologies. Regrowth of epithelium, for example, is an indicator of eye health, and of recovery from damage or surgery. OCT is also ideal for monitoring the effects of contact lens wear on the corneal surface, since imaging can be done directly through the contact lens.

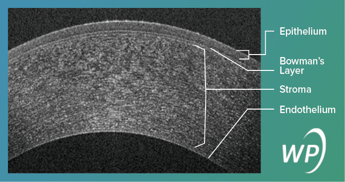
Although 1300 nm OCT is favored for imaging of deeper anterior segment structures, the cornea’s proximity to the surface make it ideal for 800 nm SD-OCT, which offers better resolution. In this image, we’ve used a system designed with our broad bandwidth Cobra-S spectrometer for highest resolution. This makes it possible to clearly see all key corneal layers, beginning with evidence of a thin, bright tear film and the thicker epithelium below, followed by Bowman’s layer. The broad corneal stroma layer dominating the corneal body shows evidence of keratocytes, and is bounded at bottom by a thin endothelium. Let’s take an even closer look – at the microscopic level.

Cornea at the cellular level

Corneal tissue begins to change at the cellular level at the onset of corneal disease, although we may not yet be able to see it. The shape, size, and distribution of epithelial and endothelial cells, keratocytes, and corneal nerves serve as early flags of damage and pathology, but can also provide a window into the efficacy of treatment. The challenge in imaging corneal structure in-vivo for clinical purposes has been speed, as involuntary motion of the subject often results in imaging artefacts that obscure cellular structure.

Recently, however, a group at the University of Waterloo led by Dr. Kostadinka Bizheva has demonstrated rapid volumetric in-vivo, non-contact imaging of the human cornea at 1.5 µm resolution with minimal motion artefacts. They developed a compact fiberoptic based SD-OCT system design based on our Cobra-S 800 spectrometer, which is optimized for sensitivity and is the fastest spectrometer on the market (250 kHz max readout rate, 2048 pixels). This allowed the team to acquire volumetric OCT images containing 750 A-scans × 750 B-scans in just ~2.8 seconds, with detail rivaling that of confocal microscopy but with greater depth, speed, and field of view.

What did they see? Everything from cellular structure of the corneal epithelium to cellular debris and mucin clusters in the tear film, as well as clear mapping of the sub-basal corneal nerves and keratocytes in the stroma. This series of en face images derived from the volumetric scan shows the quality of information that can be obtained using this system, right down to the reflections from endothelial nuclei shown at far right. Details like tear film thickness, endothelium cell count, keratocyte health, and stroma cellular structure are important in corneal conditions. This system images each easily, showing the potential clinical value of high speed, high resolution OCT imaging to non-invasive diagnostics and treatment monitoring.

Iridocorneal angle

The iridocorneal angle is found at the junction of the cornea and iris, and plays an important role maintaining intra-ocular pressure. Elevated pressure can lead to glaucoma, and thus it is important to see if this angle is open or closed when assessing risk for this disease, and in monitoring treatment. This image was taken with a system employing our Cobra 1300 OCT spectrometer, demonstrating its ability to clearly image steep angles within the anterior chamber, evidenced by its penetration into the ciliary body below.

Crystalline Lens

Once beyond the anterior chamber, light passes through the lens for its final shaping en route to the retina. Our lenses become more rigid with age, becoming harder to shape (presbyopia), and resulting in the need for reading glasses or bifocals. Clouding of the lens often follows in time, leading to cataracts and blurring vision. Surgical replacement of the lens may use AS-OCT for pre-operative planning (evaluation of existing lens, anterior chamber, and angle structures), and to calculate the required power of the new intraocular lens (IOL). Post-surgery, OCT can help evaluate corneal incisions and the location and stability of the IOL.

In the image taken with a system employing our Cobra 1300 OCT spectrometer above left, the full depth of the crystalline lens can be seen, as well as the lens capsule within which it sits. At right is an OCT image of an IOL not yet implanted.

Ciliary body

The ciliary body is our last stop in the anterior segment. It is a critical structure in the eye, working to shape the lens via its attachment to the lens capsule along its equator. A clear view of the ciliary body is critical for understanding and treatment of presbyobia. It can also be helpful to see how implanted IOLs respond to movements of the ciliary muscle. Here we see detailed imaging of the ciliary body with a system employing our Cobra 1300 OCT spectrometer.

Posterior Segment

Now beyond the lens, we travel through the vitreous body at the center of the eye, finally entering the posterior segment at the back of the eye. Since light must travel some distance to reach the retina, 800 nm or 1050 nm is a more common wavelength for posterior segment OCT. Shorter wavelengths scatter less through this liquid, and the higher resolution of these wavelengths are well-suited to imaging of the complex layers of the retina. Posterior segment OCT may be used to evaluate macular edema, retinopathies, epiretinal membranes, macular holes, or choroidal neovascularization (CNV), among other conditions. It also plays an increasing role in the monitoring of age-related macular degeneration (AMD) and treatments to target vascular growth. The majority of conditions affecting the posterior segment involve the retina, and this is where our expedition takes us next.

Retina

The retina is one of the most amazing structures of the eye, containing the structures that sense light and translate it into electrical impulses to be sent through the optic nerve to the brain. In the widefield retinal OCT image below, taken using a system designed around our high speed Cobra-S 800 spectrometer, it is possible to see all major layers of the retina – from the inner limiting membrane to the retinal pigment epithelium (RPE). This image was taken at 128 kHz scan rate, allowing a wide field of view to be imaged without motion artefacts, and at high resolution. In fact, the high image quality is maintained from the optic nerve head across the fovea into the peripheral retina, demonstrating the sensitivity of the system, even at rapid scan rates.

Macula & Fovea

Looking closer at the retina, we find the macula – the area of the retina containing many light-sensitive cells, and which allows us to see fine details clearly in the center of our vision. Deterioration of the macula is common with age, a condition frequently monitored by OCT (see end for exciting new home monitoring technology in this area!). The technique is also widely used when treating diabetic macular edema, and to conclusively detect and differentiate types of macular holes. It is also used to confirm retinal detachment. As seen in the images below, either 800 nm (left, Cobra-S 800) or 1050 nm (right, Cobra 1050) may be used for macular imaging, as both can provide detailed views of the fovea and all relevant retinal layers.

Optic nerve head

While the macula gathers light and generates the impulses for vision, it is the optic nerve that must transmit them to the brain. Composed of more than a million nerve fibers, it is an essential conduit. The optic nerve head may look very different from one OCT scan to another, depending on the cross section taken. A full 3D view is needed to perform proper measurements of optic disc area, cup-to-disc ratio, and cup volume to look for optic nerve damage in glaucoma and other conditions. Cross sections may be used to evaluate the nerve fiber layer thickness when studying glaucoma, which impacts the optic nerve due to increased intraocular pressure.

In the image at right taken using a system employing our Cobra 1050 spectrometer, choroidal structure can be seen very clearly. This layer between the retina and the sclera is the site at which neovascularization can occur in patients with AMD or diabetic retinopathy, and thus is of great interest to clinicians.

Retina at the cellular level

Given the depth of the retina in the eye and its critical importance to vision, how can we study it more closely to understand its physiological and structural properties in support of developing new therapeutic treatments? Adaptive optics (AO) holds the answer, and it takes us to the final destination on our expedition into the eye – a microscopic look at the retina. While distortions introduced by the eye’s tissue normally limit the resolution of retinal OCT images, AO overcomes this by actively correcting the input light for the distortions to be experienced as it travels to and from the retina. In order to apply this technique in-vivo, however, the OCT system must also have sufficient speed to mitigate artefacts due to patient motion.

In a joint project between the US FDA, the National Eye Institute, and the University of Maryland Medical Center, a group of researchers achieved just that. Collaborators Zhuolin Liu (US FDA), Johnny Tam (NEI), Osamah Saeedi (UMMC), and Daniel Hammer (US FDA) recently developed a multimodal AO system combining scanning laser ophthalmoscopy and ultra high-speed OCT to image the full depth of the retina with stunning resolution. The OCT arm of the system employed one of our Cobra-S 800 spectrometers, scanning its 1024 pixels at 210 kHz to collect OCT volumes of 300×300 pixels at an impressive rate of 2.3x per second.

The AO-OCT transverse confocal image resolution of 1.8 µm and axial resolution of 3.7 µm proved sufficient to extract clear en face images showing microglia, nerve fiber bundles, retinal ganglion cells (RGC) and axons, capillaries in the inner retina and foveal cones, peripheral rods, and retinal pigment epithelial (RPE) cells in the outer retina, a number of which are shown above. Its ability to resolve structures in the ganglion cell layer and RPE cells was particularly notable, as these are traditionally difficult to visualize in a healthy living eye, yet are important in the study of retinal disease progression and therapies. The pioneering work done by this group paves the way for wider use of AO-OCT by researchers and clinicians alike.

Seeing more clearly than ever

The eye is an incredible organ, and as we understand it better, our ability to diagnose, treat, and monitor its pathologies increases exponentially. OCT provides this window to understanding through its increasingly high resolution, high speed imaging of structures at every location in the eye. At Wasatch Photonics, we are proud to be a part of this expedition and a provider of enabling tools and drop-in solutions that speed your research or product development while expanding the possibilities and improving the outcome. Contact us to learn more about how our Cobra series OCT spectrometersprobessystems, and software solutions can be part of your own Expedition into the Eye.

One step closer to preventing vision loss

Age-related macular degeneration (AMD) is a leading cause of vision loss in those 60 and older. It deteriorates the sharp, central vision needed to see objects clearly. An estimated 80% of AMD patients have the relatively benign ‘dry’ AMD, while the other 20% have progressed to the ‘wet’ form of AMD, which can lead to vision loss. With early detection of wet AMD, vision can be preserved or even improved, and OCT is at the forefront. In addition to in-clinic testing, a new patient-operated home OCT screening device developed by Notal Vision and based on a Wasatch Photonics OCT engine is now in its first US clinical trial, with the potential to revolutionize how wet AMD is monitored. 

References

  1. Tan, Bingyao, et al. “250 kHz, 1.5 µm resolution SD-OCT for in-vivo cellular imaging of the human cornea.” Biomedical Optics Express12 (2018): 6569-6583.
  2. Liu, Zhuolin, et al. “Trans-retinal cellular imaging with multimodal adaptive optics.” Biomedical Optics Express9 (2018): 4246-4262.
  3. Venkateswaran, Nandini. “Anterior Segment Optical Coherence Tomography for Various Ocular Surface Lesions and Corneal Pathologies.” EyeWiki, American Academy of Ophthalmology, 28 Nov. 2018.
  4. Han, Sang Beom, et al. “Applications of anterior segment optical coherence tomography in cornea and ocular surface diseases.” Journal of Ophthalmology2016 (2016).
  5. Vien, Lee, and David Yang. “OCT’s Role in an Optometric Practice.” Review of Optometry, 15 Mar. 2016, reviewofoptometry.com/article/octs-role-in-an-optometric-practice.

Author: Cicely Rathmell, MSc

Cicely Rathmell, MSc is a seasoned science communicator and marketing professional with a strong academic background in chemistry and physics and over 25 years of experience in the photonics industry. As VP of Marketing at Wasatch Photonics, she applies her technical expertise and industry insight to make advanced spectroscopy and optical technologies accessible and impactful for researchers and innovators.

Author: Dr. Nishant Mohan

Dr. Nishant Mohan is an accomplished optical scientist and biomedical engineer with over 15 years of experience in OCT imaging. He has authored numerous peer-reviewed publications and a patent in OCT techniques, demonstrating his commitment to innovation and scientific rigor in the development of cutting-edge photonics solutions.